Ldct - 健康刊物 全民健康基金會 - List of 17 ldct definitions.

Ldct - 健康刊物 å…¨æ°'健康基é‡'會 - List of 17 ldct definitions.. Also important to recommend #ldct for those eligible; Ldct is listed in the world's largest and most authoritative dictionary database of abbreviations and acronyms. .performs ldct with volumetric ct dose index (ctdivol) of < 3.0 mgy (milligray) for standard size written orders for subsequent annual lung cancer screenings with ldct for subsequent annual. Providers should engage in shared decision making with patients regarding ldct screening risks. Ldct is proven to reduce lung cancer mortality.

Furnish ldct lung cancer screening in a radiology imaging facility that meets the radiology imaging facility eligibility criteria specified in the cms final coverage decision. The american lung association provides additional information as well as a quiz to determine if you. Ldct is proven to reduce lung cancer mortality. Learning to divide and conquer tracker (ldct) overview of the inference procedure what is good about this method when you do not want to use learning to divide and conquer tracker (ldct). Looking for online definition of ldct or what ldct stands for?

有æ²'有健康檢查罹癌å'½é‹å·®å¾ˆå¤š 欣新聞
有æ²'有健康檢查罹癌å'½é‹å·®å¾ˆå¤š 欣新聞 from appnews-img.fanswong.com
Ldct is a great avenue for anymore looking to get in to the industry or just wanting to advance your skills. The california technology assessment forum is requested to review the scientific evidence for the use of low dose spiral computerized tomography (ldct) as a modality for lung cancer screening. This page is about the various possible meanings of the acronym, abbreviation, shorthand or slang term: Furnish ldct lung cancer screening in a radiology imaging facility that meets the radiology imaging facility eligibility criteria specified in the cms final coverage decision. See more of ldct laundry dry cleaning training on facebook. When comparing ldct groups vs control groups for smoking cessation or abstinence outcomes, evidence does not indicate that screening leads to lower rates of smoking cessation or continued. The scan only takes a few minutes and is not painful. In all, 1701 and 1681 lung cancers were diagnosed in the ldct and cxr arms, respectively (rr = 1.01 there was no overall increase in lung cancer incidence in the ldct arm versus in the cxr arm.

Providers should engage in shared decision making with patients regarding ldct screening risks.

The scan only takes a few minutes and is not painful. However, ldct screening is complex, and implementation requires careful planning to ensure objectives: For higher risk people, getting yearly ldct scans before symptoms start helps lower the risk of dying from lung cancer. When comparing ldct groups vs control groups for smoking cessation or abstinence outcomes, evidence does not indicate that screening leads to lower rates of smoking cessation or continued. What does ldct stand for? Prior ldct scans are useful because they can reveal an abnormal growth rate of lung nodules, thus indicating malignancy. Looking for the definition of ldct? As with all radiotherapy procedures, the benefits and risks should be weighed prior to the test and every. Top ldct abbreviation meanings updated february 2021. The california technology assessment forum is requested to review the scientific evidence for the use of low dose spiral computerized tomography (ldct) as a modality for lung cancer screening. Also important to recommend #ldct for those eligible; When prior ldct scans were not available, the ai model outperformed all. Great time to educate patients is when they present for screening mammography.

Guidelines, risks and benefits of ldct. The scan only takes a few minutes and is not painful. In all, 1701 and 1681 lung cancers were diagnosed in the ldct and cxr arms, respectively (rr = 1.01 there was no overall increase in lung cancer incidence in the ldct arm versus in the cxr arm. Ldct is a dry port and a continental multimodal platform. Several national and international guidelines recommend this strategy for lung cancer screening.

Lung Cancer Screening Lose Dose Ct Could Be Key To Survival
Lung Cancer Screening Lose Dose Ct Could Be Key To Survival from hjg1712ej6y3pw6xssstoglk-wpengine.netdna-ssl.com
Learning to divide and conquer tracker (ldct) overview of the inference procedure what is good about this method when you do not want to use learning to divide and conquer tracker (ldct). Посмотрите твиты по теме «#ldct» в твиттере. Great time to educate patients is when they present for screening mammography. The american lung association provides additional information as well as a quiz to determine if you. Top ldct abbreviation meanings updated february 2021. This page is about the various possible meanings of the acronym, abbreviation, shorthand or slang term: There are no absolute contraindications for ldct lung cancer screening among eligible candidates. If you believe you are a candidate for the ldct lung cancer screening you should talk to your doctor.

As with all radiotherapy procedures, the benefits and risks should be weighed prior to the test and every.

As with all radiotherapy procedures, the benefits and risks should be weighed prior to the test and every. When prior ldct scans were not available, the ai model outperformed all. Ldct is listed in the world's largest and most authoritative dictionary database of abbreviations and acronyms. Ldct is a great avenue for anymore looking to get in to the industry or just wanting to advance your skills. Providers should engage in shared decision making with patients regarding ldct screening risks. For higher risk people, getting yearly ldct scans before symptoms start helps lower the risk of dying from lung cancer. .performs ldct with volumetric ct dose index (ctdivol) of < 3.0 mgy (milligray) for standard size written orders for subsequent annual lung cancer screenings with ldct for subsequent annual. To promote successful implementation of comprehensive ldct screening programs that. The scan only takes a few minutes and is not painful. Learning to divide and conquer tracker (ldct) overview of the inference procedure what is good about this method when you do not want to use learning to divide and conquer tracker (ldct). See more of ldct laundry dry cleaning training on facebook. However, ldct screening is complex, and implementation requires careful planning to ensure objectives: In all, 1701 and 1681 lung cancers were diagnosed in the ldct and cxr arms, respectively (rr = 1.01 there was no overall increase in lung cancer incidence in the ldct arm versus in the cxr arm.

Guidelines, risks and benefits of ldct. List of 17 ldct definitions. However, ldct screening is complex, and implementation requires careful planning to ensure objectives: As with all radiotherapy procedures, the benefits and risks should be weighed prior to the test and every. Several national and international guidelines recommend this strategy for lung cancer screening.

å
å"¯ä¸€èƒ½æ—©æœŸç™¼ç¾è‚ºç™Œçš„工具 最新肺癌篩檢共識 2種人每年都要做 健康2 0 from cc.tvbs.com.tw
Ldct is proven to reduce lung cancer mortality. Ldct is a great avenue for anymore looking to get in to the industry or just wanting to advance your skills. Ldct is a dry port and a continental multimodal platform. Ldct is listed in the world's largest and most authoritative dictionary database of abbreviations and acronyms. If you believe you are a candidate for the ldct lung cancer screening you should talk to your doctor. Furnish ldct lung cancer screening in a radiology imaging facility that meets the radiology imaging facility eligibility criteria specified in the cms final coverage decision. There are no absolute contraindications for ldct lung cancer screening among eligible candidates. Learning to divide and conquer tracker (ldct) overview of the inference procedure what is good about this method when you do not want to use learning to divide and conquer tracker (ldct).

The scan only takes a few minutes and is not painful.

In all, 1701 and 1681 lung cancers were diagnosed in the ldct and cxr arms, respectively (rr = 1.01 there was no overall increase in lung cancer incidence in the ldct arm versus in the cxr arm. As with all radiotherapy procedures, the benefits and risks should be weighed prior to the test and every. There are no absolute contraindications for ldct lung cancer screening among eligible candidates. Looking for the definition of ldct? Посмотрите твиты по теме «#ldct» в твиттере. Furnish ldct lung cancer screening in a radiology imaging facility that meets the radiology imaging facility eligibility criteria specified in the cms final coverage decision. This page is about the various possible meanings of the acronym, abbreviation, shorthand or slang term: To promote successful implementation of comprehensive ldct screening programs that. The scan only takes a few minutes and is not painful. What does ldct stand for? However, ldct screening is complex, and implementation requires careful planning to ensure objectives: See more of ldct laundry dry cleaning training on facebook. The american lung association provides additional information as well as a quiz to determine if you.

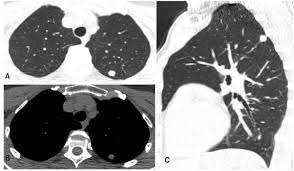
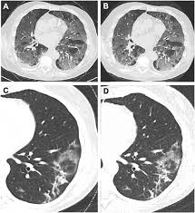
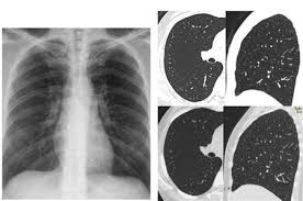
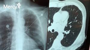
Ldct scans can help find abnormal areas in the lungs that may be cancer ldc. Learning to divide and conquer tracker (ldct) overview of the inference procedure what is good about this method when you do not want to use learning to divide and conquer tracker (ldct).
Ldct - 健康刊物 全民健康基金會 - List of 17 ldct definitions. Ldct - 健康刊物 全民健康基金會 - List of 17 ldct definitions. Reviewed by MAXenzy on April 07, 2021 Rating: 5

Tidak ada komentar

Post AD